ACUTE BRAINSTEM INFARCT: MULTIDISCIPLINARY MANAGEMENT
Pacientul in varsta de 18 ani, fara antecedente patologice semnificative, este transferat de urgenta de la un spital la altul avand disfunctie neurologica si respiratorie progresiva. La momentul transferului pacientul se afla deja pe ventilatie mecanica.
Cu 48 de ore inaintea declansarii simptomelor pacientul a cazut in timpul unui meci de fotbal, in timpul episodului pastrandu-si starea de constienta. Simptomele, declansate in seara cazaturii, au constat in disartrie, cefalee si hemipareza tranzitorie.
La internarea initiala computer tomograful indica rezultate normale, fara modificari cerebrale. Cu toate acestea, statusul neurologic al pacientului se degradeaza, acesta are o sincopa si este transferat de urgenta la un nou spital. La sosirea in noua unitate pacientul se afla in coma.
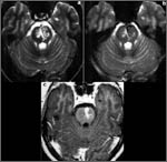
Un nou CT realizat indica o mica zona hipodensa, localizata pontin, fara hemoragie. La o reanalizare a CT-ului precedent se poate distinge o artera bazilara hiperdensa .
Avandu-se in vedere episodul traumatic medicii au decis realizarea unei angiograme cerebrale, suspicionand o posibila disectie de artera carotida sau vertebrala. La declansarea acestei investigatii, pacientul se afla de doua ore in coma, avea pupile dilatate si fixe. De asemenea s-a putut observa pronatia extensorilor la toate membrele, la stimuli durerosi.
Pacientul avea mioclonii bilaterale puse pe seama ischemiei cererale.
Angiograma cerebrala a evidentiat ocluzia completa a segmentului superior al arterei bazilare. Aceasta s-a insotit cu o imagine "neregulata" si stenoza segmentului distal al arterei vertebrale drepte, zona corespunzatoare cel mai probabil unei disectii.
Conduita terapeutica a impus tromboliza, cu ajutorul unui microcateter, la nivelul ocluziei arterei bazilare. 700000 de unitati de urokinaza au fost introduse
dupa 30 de minute, obtinandu-se astfel recanalizarea arterei bazilare si a principalelor ei ramuri. De asemenea artera vertebrala dreapta a fost ocluzionata, proximal disectiei.
La putin timp dupa tromboliza pacientul a prezentat din nou pupile simetric reactive. Un nou CT indica o zona hiperdensa in regiunea centrala si laterala stanga a puntii. Aceasta corespunde unei mici hemoragii asimptomatice posttromboliza.
Pacientul a fost transferat la terapie intensiva. In continuarea tratamentului s-a realizat hemodilutia si s-a administrat medicatie antihipertensiva, media tensiunii arteriale a pacientului find mentinuta in jur de 120 mm Hg.
Investigatii efectuate ziua urmatoare au aratat o regiune hipoperfuzata la nivelul trunchiului cerebral, mai extinsa decat hemoragia pontina (figura 3a). Pentru tratamentul celor gasite a fost crescuta volemia, continuandu-se insa administrarea medicatiei hipertensive.
Un RMN cerebral a indicat un infarct pontin, predominant pe partea stanga. Zilele ce au urmat pacientul a inceput sa isi revina progresiv.
La o saptamana dupa cele relatate, cand pacientul a fost ridicat la verticala acesta a avut un episod de declin neurologic acut, cu hemipareza tranzitorie si mioclonii aparute ca urmare a hipotensiunii ortostatice. Un nou CT nu a indicat modificari semnificative in dimensiunea infarctului .
In contextul relatat episodul a fost considerart de origine hemodinamica.si a fost combatut prin reechilibrare volemica. Simptomele s-au remis in cateva zile. In ziua 18 miscarile corzilor vocale au ajuns sa fie considerate normale, pacientul reluand si modul normal de alimentare.
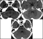
Investigatii ulterioare au evidentiat hipoperfuzia emisferei drepte, partea inferioara, a cerebelului, hemoragia pontina incepand sa se remita la aceasta data.
Dupa doua luni s-a considerat ca pacientul si-a revenit total si a fost externat.
www.alasbimnjournal.cl
| < Anterior | Urmator > |
|---|






