Date despre pacient:
Sex feminin, 1 an şi 4 luni, mediu rural. Este adusă de SMURD în Unitatea de Primire Urgenţe Pediatrie, de la Spitalul Judeţean Baia Mare, cu diagnosticele:
• Comă grad IV, de etiologie neprecizată;
• Ventilaţie mecanică.
Episod de strabism convergent cu debut acut şi etiologie neprecizată (investigat prin CT, examen neurologic, examen oftalmologic).
31.12.2010• copilul este internat de urgență cu stare generală alterată, somnolență, hipotonie generalizată, tegumente palide, precedate de câteva zile de episoade repetate de vărsături. Se interpretează ca și sindrom de deshidratare și se administrează PEV de reechilibrare; se inițiază antibioterapie cu ampicilină, gentamicină. Mama nu recunoaște antecedente de traumă sau intoxicație accidentală. Evoluția este nefavorabilă cu alterarea statusului neurologic și episoade de contractură tonică, pentru care se efectuează CT cranian nativ care evidențiază discret edem cerebral, leziuni hipodense inomogene FP drept și la nivel capsulo-lenticular stâng, lizereu hiperdens în fisura interemisferică, văile sylviene și cisternele cranio-bazale. Se decide transferul în UPU Pediatrie Cluj;
• La preluare: coma GSC 3, intubată oro-traheal fără sedare, ventilată în regim IPPV, FR 20/min, etCO2 10 cm H2O, tegumente palide, reci, hipotermie (˂35ºC i.r.), anizocorie, slab reflex pupilar, ROT absente, TA 70/50 mmHg, AV 120/min;
• Paraclinic – sindrom inflamator prezent, hiperleucocitoză, hiposodemie, probe renale, hepatice, coagulograma în limite normale. Radiografie toracică, ecografie abdominală fără modificări patologice;
• Se iniţiază tratament cu: ceftriaxonă, dexametazonă, manitol, reîncălzire pasivă, PEV, ventilaţie în regim P-SIMV;
• Consult neurchirurgical şi boli infecţioase -> encefalită acută. Se asociază tratament cu aciclovir, IGIV, iar antibioterapia se modifică: Meropenem;
02.01.2010
• Starea generală gravă, pupile intermediare areactive, areflexie;
• Instabilitate hemodinamică (TAS<60 mmHg) -> se iniţiază suport inotrop: dopamină;
• Tulburări electrolitice.
03.01.2010
• Angio-RMN -> modificări ischemice cerebrale cu edem cerebral difuz, sistem vascular neidentificabil la nivel intracranian.
04-07.01.2011
• Examen neurologic, inclusiv EEG -> pacienta nu prezintă activitate activitate cerebrală;
• Se efectuează teste relevante pentru declararea morţii cerebrale.
06.01.2011
• se suspendă terapia cu Meronem și Virolex și se inlocuiește cu Ampicilină iv., antisecretor gastric, furosemid iv intermitent, PEV de echilibrare A-B , H-E și metabolică, alimentație pe sonda nazo-gastrică cu lapte praf.
10.01.2011
• episoade scurte de desaturare pană la 78%, pe sonda traheală se aspiră secreții sangvinolente cu cheaguri, prezintă valori tensionale în scădere: TA 65/45mmHg, AV 120/minut;
• Paraclinic – sindrom inflamator important cu PCR=20,2mg/dl, leucocitoză, anemie (Hb=5,9g/dl), hipoproteinemie, ușoară citoliză hepatică, coagulograma ușor alterată, probe renale normale.
11-16.01.2011
• Starea generală se menține profund alterată, midriază areactivă, se continuă ventilația mecanică, se aspiră secreții purulente, sangvinolente pe sonda IOT.
17.01.2011
• hipotensiune arterială până la 40/17 mmHg, în cursul după-amiezii devine anurică;
• Se menține cu hipotensiune arterială (40/11 mmHg), hipotermie și anurie, FC=78-88b/min;
18.01.2011
• de la ora 16.30 prezintă desaturare până la 88-90%, TA devine nemăsurabilă, FC scade treptat până la asistolă;
• 17.15 – se declară decesul.
Leziuni macroscopice
• Ramolisment cerebral masiv cu păstrarea unei lame de ţesut cortical superficial (fig. 1);
• Colecţie pleurală bilaterală în cantitate mică; plămâni palizi, condensaţi la palpare şi aspect marmorat pe secţiune; edem pulmonar acut;
• Colecţie pleurală în cantitate mică; cardiomegalie cu HVS, miocard de aspect împăstat; tromboză pe venele jugulare, bilateral, extinsă în vena cavă superioară, atriul drept, ventriculul drept, extensie în artera pulmonară şi ramurile acesteia în ambii plămâni; tromboză pe vena iliacă dreaptă (fig. 2);
• Ileon cu mucoasa îngroşată, hepatomegalie, bilă noroioasă. Pancreas indurat;
• Rinichi măriţi, aspect marmorat pe secţiune; căi urinare libere;
• Splenomegalie, adenopatie mezenterică, peripancreatică şi mediastinală masivă;
• Emfizem mediastinal; timus de aspect obişnuit.
Leziuni microscopice
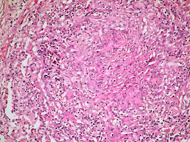
• Creier ramolit, lichefiat; puţinele arii viabile prezintă la nivelul spaţiului subarahnoidian un infiltrat limfoplasmocitar abundent. Acest exudat conţine şi PMN. La nivelul spaţiului Virchow-Robin al arteriolelor ce pătrund în SNC de la nivelul meningelui este prezent, de asemenea, un infiltrat limfoplasmocitar (fig. 3);
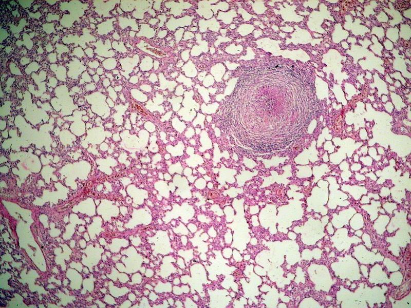
• Plămân cu leziuni de emfizem interstiţial şi alveolar; edem pulmonar şi interstiţial; rare granuloame de tip tuberculoid; sunt prezente focal membrane hialine şi microtrombi trombocitari la nivelul capilarelor pulmonare (fig. 4,5);
• Inima cu rabdomioliză subendocardică, edem interstiţial şi focal. În interstiţiu, colecţie de celule inflamatorii alcătuite din macrofage, rotundonucleare şi eozinofile. În peretele venei jugulare trombozate, infiltrate celulare rotundonucleare, eozinofile şi macrofage;
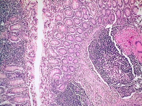
• Intestin subțire cu ulcerația focală a mucoasei, cu granuloame tuberculoide coalescente în submucoasă şi extinderea granuloamelor până la nivel seros cu peritonită fibrinoasă. Infiltratul inflamator conține, de asemenea, şi numeroase eozinofile. Coloratia Ziel-Nielson a fost pozitivă, în unele celulele epitelioide din granulom evidențiindu-se bacili. Ficat cu stază cronică şi granuloame de tip tuberculoid miliar la nivel portal. Spaţiile porte prezintă un infiltrat inflamator rotundonuclear şi numeroase eozinofile. Pancreas cu fibroză importantă și dilatare de ducte excretorii (Fig. 6).


| < Anterior | Urmator > |
|---|






