Pacienta in varsta de 58 ani se prezinta la medicul de familie acuzand durere lombo-sacrata cu iradiere la nivelul membrelor inferioare si parestezii la acelasi nivel. Dupa efectuarea examenului clinic, pacientei i se recomanda sedinte de fizioterapie si masaj in cadrul unei institutii specializate.
Tratamentul neaducand ameliorarea simptomelor, pacienta este supusa unui examen radiologic. Acesta releva: ingustarea spatiilor intervertebrale L4-L5 cu osteoscleroza suprafetelor vertebrale adiacente, osteofite laterale mari cu tendinta de formare de punte osoasa pe partea dreapta la nivelul L3-L4 si tasarea corpului vertebral L5.

Pentru investigatii suplimentare, pacienta, care descrie agravarea simptomatologiei initiale, durere si impotenta functionala in regiunea sacrata, cu iradiere la nivelul membrelor inferioare, este internata la 2 luni de la debutul simptomelor intr-un serviciu de Ortopedie.
In urma examenului radiologic al coloanei lombo-sacrate este descrisa o imagine sugestiva de osteoliza interesand hemisacrul drept cu diametrul aproximativ de 7-8cm. Se efectueaza ulterior o scintigrafie trifazica cu radiotrasor osteotrop care evidentiaza in faza angioscintigrafica si precoce (interstitiala) perfuzie si acumulare crescuta a radiotrasorului in regiunea sacrata. In faza tardiva (osoasa) se observa fixarea crescuta a trasorului in regiunea sacrata, cu extensie in regiunea inferioara a articulatiei sacro-iliace drepte si o zona lacunara suspecta de osteoliza in jumatatea superioara a hemisacrului drept. Se observa de asemenea captarea bilateral crescuta a trasorului la nivelul articulatiilor umarului, genunchiului, tibiotarsiene si tarsiene, sugerand o poliartropatie de tip inflamator.

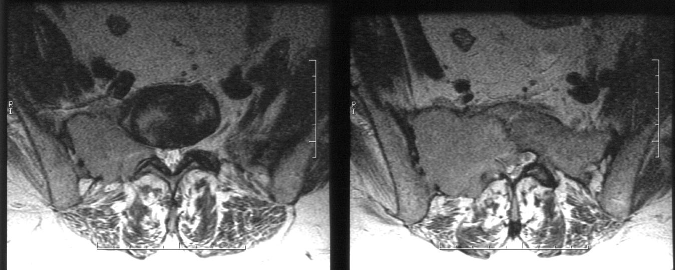
Pe baza acestor investigatii este certificata prezenta unei formatiuni tumorale bine vascularizate la nivel sacrat, cu osteoliza asociata, care se extinde la nivel sacro-iliac drept. Se recomanda completarea investigatiilor cu examinarea RMN cu substanta de contrast a coloanei lombo-sacrate, care confirma descrierea masei osteolitice cu contur neregulat si dimensiuni axiale maxime de 62/63mm la nivelul hemisacrului drept, precum si extensia sacro-iliaca.
Testele de imuno si biochimie atesta un nivel de 0.947ng/ml al CEA Ag carcinoembrionic (N: nefumatori ≤3,4 ; fumatori ≤4,3), banda IgG monoclonali prezenta si banda Ac monoclonali cu lanturi K prezenta.
Pacienta este directionata catre un serviciu de neurochirurgie in vederea tratamentului de specialitate. Astfel, la 8 luni dupa aparitia simptomelor, pacienta este supusa unei interventii chirurgicale pentru extirparea tumorii; se realizeaza o rezectie subtotala a procesului expansiv, cu eliberarea radacinilor S1, S2 drepte si a sacului dural. Fragmente din tumora sunt trimise la laborator in vederea examenului anatomo-patologic. Evolutia post-operatorie a pacientei este buna.
Analiza histopatologica si imunohistochimica ofera diagnosticul de plasmocitom plasmocitic cu secretie de lanturi K.
La o luna dupa interventia chirurgicala, pacienta revine pentru control; este supusa unui examen radiologic al coloanei lombo-sacrate+pelvis, care descrie imagini lacunare multiple, rotunde, cu diametrul maxim de 10mm, fara reactie de condensare in jur; ingustarea spatiilor intervertebrale L5-S1 si L4-L5; proiectiuni osteofitice marginale difuze.
Diagnosticul complet la externare : mielom multiplu IgG, plasmocitom sacrat, anemie secundara usoara, HTA, obezitate II.
Pacienta urmeaza in prezent chimioterapie pentru neoplasm, avand o complianta buna si reinternandu-se periodic pentru administrarea tratamentului (cura VCAP, vincristina 2mg, ciclofosfamida 200mg/zi-2zile,farmorubicina 50mg, prednison 110mg/zi-2zile + adjuvante). Se recomanda regim alimentar hiposodat, consumul a 2l de lichid zilnic, evitarea efortului fizic sustinut, a ridicarii greutatilor si a ortostatismului prelungit.
Coordonator stiintific: Dr. Tatiana Adam, medic specialist hematolog, Spit. Judetean Constanta
| < Anterior | Urmator > |
|---|






