Infertilitatea este definita ca fiind “imposibilitatea unui cuplu de a procrea, timp de 1 an, avand o viata sexuala normala si fara a utiliza mijloace contraceptive”(American Fertility Association). La nivel mondial, aproximativ 10-15% din cupluri sunt afectate, iar incidenta este in crestere.
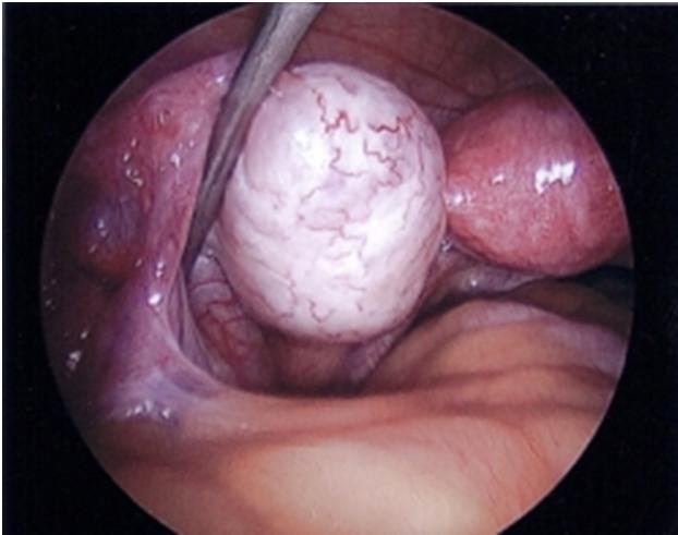
Afectiunile care au implicatii in fertilitatea feminina se constituie intr-o patologie complexa care pune probleme de diagnostic si tratament. Conform OMS cele mai frecvente cauze de infertilitate sunt reprezentate de: factorul tubar(36%), disfunctia ovulatorie (33%), endometrioza (3%), factorul uterin (2-3%),un procent de 40% neavand o cauza cunoscuta.Laparoscopia permite explorarea directa, globala, a organelor genitale interne, avand sensibilitate si specificitate superioare celorlalte metode de explorare. Este prima explorare indicata cand se suspecteaza o salpingita acuta, HSG fiind contraindicata.
Lucrarea este un studiu retrospectiv al unui lot de 150 de paciente internate in Clinica de Obstetrica Ginecologie a Spitalului Universitar de Urgenta Bucuresti in perioada 2011-2013, care au fost diagnosticate cu infertilitate si la care s-a practicat laparoscopie exploratorie si, daca a fost cazul, terapeutica .
Dupa preluarea datelor anamnestice, efectuarea investigatiilor hormonale, microbiologice ale sferei urogenitale, evaluarea imagistica (echografie transvaginala+/- histerosalpingografie) si investigarea factorului masculin s-a indicat efectuarea unei laparoscopii in scop diagnostic si dupa caz, terapeutic.
Pacientele au avut o varsta cuprinsa intre 20-41 ani, investigate pentru infertilitate primara 98 de cazuri(65.3%) si infertilitate secundara 52 de cazuri(34.7%).






- Distrugerea implantelor endometriozice
- Identificarea leziunilor discrete(infertilitate “inexplicabila”)
- Reconstructie tubara
- Drilling ovarian
- Eliberarea aderentelor si restabilirea anatomiei pelvine normale.
Analiza statistica a observat ca:exista o incidenta crescuta a infertilitatii in grupul de varsta 35-40 ani, cele mai frecvente patologii intalnite au fost: aderentele viscero-peritoneale, implanturile endometriozice si obstructia tubara bilaterala, abordul laparoscopic este singurul care asigura in acelasi timp o sedinta operatorie diagnostica dar si terapeutica in caz de necesitate.
In cadrul infertilitatii laparoscopia este o metoda cu sensibilitate si specificitate superioare, fiind complementara celorlalte metode de explorare.
1.Vartej Petrache,Vartej Ioana, Poiana Catalina, Ginecologie endocrinologica, Bucuresti, Editura All, 2014.
2.Vartej Petrache, Ginecologie, Bucuresti, Editura All,2008.
3. www.who.int/rhl/gynaecology/en/
4.Novak's textbook of gynaecology
5. Vegheş Simona, Modern approaches in tubo-ovarin infertility, Iasi, Editura Gr.T.Popa, 2006.
| < Anterior | Urmator > |
|---|






